Dr MONLEZUN Florence
Chirurgien-Dentiste-Mazargues-13009
88 rue émile Zola, 13009 MARSEILLE
+33 4 91 40 12 34
Dr MONLEZUN Florence
Chirurgien-Dentiste-Mazargues-13009

Blog - Page 14

Les concentrations en fluor des eaux minérales

Les concentrations en fluor des eaux minérales

La quantité de fluor présente dans les eaux minérales est très variable et il est important pour vous de bien la connaître.

Le syndrome d'apnées obstructives du sommeil (saos)

Le syndrome d'apnées obstructives du sommeil (saos)

Les micro-réveils nocturnes peuvent être le signe d'une apnée du sommeil avec obstruction respiratoire. Si vous êtes concerné, consultez rapidement pour retrouver un sommeil serein !

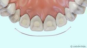
Fil de contention

Fil de contention

L'hypersensibilité dentaire

L'hypersensibilité dentaire

Douleurs au chaud, au froid, ou au brossage : comment soulager l’hypersensibilité dentaire ?

Les bridges et ponts dentaires

Les bridges et ponts dentaires

Un bridge est une prothèse fixe permettant de remplacer une ou plusieurs dents en s’appuyant sur les dents adjacentes.

Bien vivre avec une prothèse amovible

Bien vivre avec une prothèse amovible

Les premiers temps avec votre prothèse amovible : adoptez les bons réflexes pour faciliter la période d'adaptation.

Affichage des articles 79-84 sur 188

Création par Webdentiste

Connexion